Ortodontia | Brasília

Clínica odontológica especializada no tratamento ortodôntico

Referência em planejamento e tratamento de casos de alta complexidade

Aliando experiência prosissional e formação acadêmica, oferecemos serviços odontológicos personalizados para maior satisfação e bem estar de nossos pacientes, adequando autoestima, estética e saúde.

phone whatsapp

Apinhamento dentário

Dentes mal posicionados nos arcos dentários

Apinhamento dental ocorre quando os dentes estão mal posicionados nos arcos dentários. Isto pode ocorrer devido à falta de espaço para o seu alinhamento no arco ou quando irrompem fora do seu local correto e até mesmo girados.

O apinhamento dentário pode ocorrer desde o início das trocas dentárias, podendo ser classificados como temporários ou definitivos

Apinhamento primário temporário

O apinhamento primário temporário é um apinhamento mais brando dos dentes. Normalmente, deve-se apenas realizar o acompanhamento do paciente, uma vez que a correção costuma ocorrer de maneira espontânea.

Apinhamento primário definitivo

Por sua vez, o apinhamento primário definitivo é uma forma mais séria de apinhamento. Em alguns casos, deve-se realizar uma intervenção precoce para evitar o agravamento do problema, trauma dentário, recessões gengivais e melhorar a estética do sorriso, reduzindo assim os riscos de bullying.

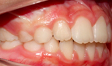
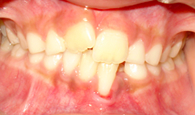
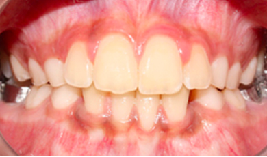
Intervenção precoce no apinhamento primário

As imagens abaixo retratam um caso de intervenção precoce no apinhamento primário para diminuição do risco de trauma e melhora da estética do sorriso.

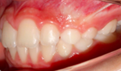
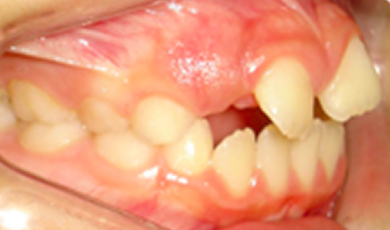
Intervenção precoce no apinhamento primário

As imagens abaixo retratam um caso de intervenção precoce no apinhamento primário, por meio da obtenção de espaço para o correto alinhamento dos dentes, melhora da retração gengival e aprimoramento da estética do sorriso.

Quando nāo é feita a intervenção precoce, o apinhamento pode se perpetuar, agravando-se e sendo necessária intervenção posterior na dentição permanente.

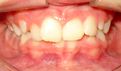
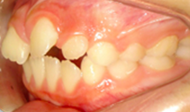
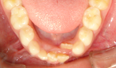
Apinhamento em paciente jovem

As imagens abaixo retratam um caso de intervenção do apinhamento anterior superior em um paciente jovem, porém no início da dentição permanente completa.

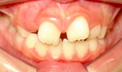
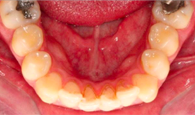
Apinhamento em paciente adulto

As imagens abaixo retratam um caso de intervenção do apinhamento anterior inferior em um paciente adulto.


Vogas Odontologia Especializada | Invisalign Doctor

Oferecemos serviços odontológicos personalizados para maior satisfação e bem estar de nossos pacientes, adequando autoestima, estética e saúde.

phone whatsapp