Ortodontia | Brasília

Clínica odontológica especializada no tratamento ortodôntico

Referência em planejamento e tratamento de casos de alta complexidade

Aliando experiência prosissional e formação acadêmica, oferecemos serviços odontológicos personalizados para maior satisfação e bem estar de nossos pacientes, adequando autoestima, estética e saúde.

phone whatsapp

Dentes inclusos

Dentes que não consegue erupcionar (nascer)

Também pode ser chamado de dente retido, pois é quando um dente não consegue irromper na cavidade bucal dentro do período esperado. Os dentes geralmente permanecem inclusos devido a inúmeros fatores mas principalmente: falta de espaço para sua irrupção ou alteração de sua posição intra óssea.

Sempre que possível, os dentes inclusos devem ser tracionados ortodonticamente para que possam ser reposicionados nos arcos dentários. Para realização do tracionamento de dentes inclusos é necessária intervenção cirúrgica para exposição do dente retido, permitindo assim a aplicação da força para sua movimentação.

Canino inferior esquerdo incluso (dente 33)

As imagens abaixo retratam um caso clínico em que a paciente compareceu ao consultório para avaliação ortodôntica e por meio da imagem radiográfica (panorâmica) foi possível identificar que o canino inferior esquerdo (dente 33) encontrava-se incluso, sendo necessária a intervenção ortodôntica para o seu tracionamento.

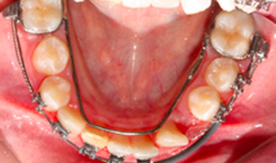
Início do tracionamento

Inicio do tracionamento ortodontico apos exposicao cirurgica ainda com a presenca de dentes deciduos, utilizando um arco lingual de apoio.

Evolução do tratamento ortodôntico

Evolucao do tratamento ortodontico ja com a instalacao do apararelho fixo em alguns dentes auxiliando o tracionamento do dente incluso.

Evolucao do tratamento ortodontico com o apararelho fixo colado em todos os dentes inferiores e o elemento 33 ja melhor psicionado.

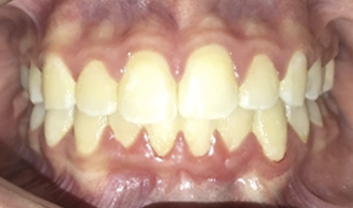
Canino inferior aparente

Inclusão do canino inferior esquerdo no arco, agora nāo mais incluso.

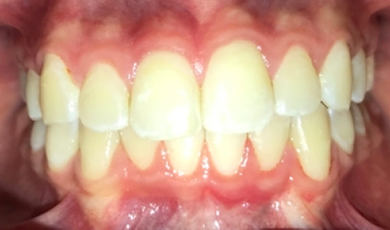
Finalização do tratamento

Após dois anos de acompanhamento o caso foi finalizado, conforme ilustram as imagens abaixo.


Vogas Odontologia Especializada | Invisalign Doctor

Oferecemos serviços odontológicos personalizados para maior satisfação e bem estar de nossos pacientes, adequando autoestima, estética e saúde.

phone whatsapp