Ortodontia | Brasília

Clínica odontológica especializada no tratamento ortodôntico

Referência em planejamento e tratamento de casos de alta complexidade

Aliando experiência prosissional e formação acadêmica, oferecemos serviços odontológicos personalizados para maior satisfação e bem estar de nossos pacientes, adequando autoestima, estética e saúde.

phone whatsapp

Diastema

Existência de espaço entre os dentes

Pode ocorrer em qualquer região dos arcos dentários, sendo na região da frente mais evidente devido a sua importância estética. Na região posterior, apesar ser menos aparente, pode levar a extremo desconforto devido ao acúmulo de alimentos.

Os diastemas podem ter diversas causas: alinhamentos dentários incorretos, tamanhos dentários diferentes, freio labial com inserção incorreta (entre os dentes), ausência dentaria ou força lingual exagerada sobre os dentes.

É importante lembrar que os diastemas entre os dentes de leite são desejáveis e nāo deve ser feito nenhum tratamento para fechá-los, uma vez que os dentes permanentes que irão irromper serão maiores e precisarão destes espaços. Somente se persistirem após as trocas dentárias deve ser feita intervenção caso necessário.

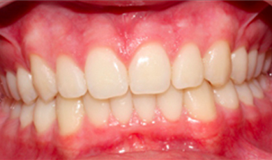
Diastema superiore entre os incisivos centrais

As imagens abaixo ilustram um paciente com diastema superior entre os incisivos centrais. Como se observa, o tratamento ortodôntico possibilitou o fechamento dos espaços e uma melhor oclusão.

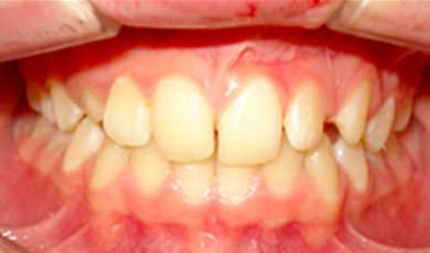
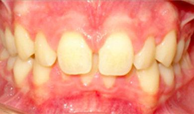
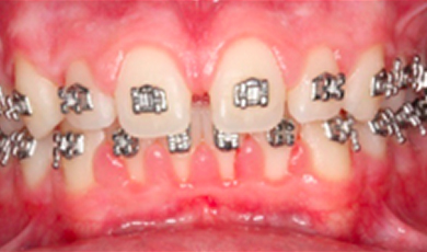
Diastema superiore entre os incisivos centrais e laterais

As imagens abaixo ilustram um paciente com diastema superior entre os incisivos centrais e entre os incisivos laterais. Como se observa, o tratamento ortodôntico possibilitou o fechamento dos espaços e uma melhor oclusão.


Vogas Odontologia Especializada | Invisalign Doctor

Oferecemos serviços odontológicos personalizados para maior satisfação e bem estar de nossos pacientes, adequando autoestima, estética e saúde.

phone whatsapp