Ortodontia | Brasília

Clínica odontológica especializada no tratamento ortodôntico

Referência em planejamento e tratamento de casos de alta complexidade

Aliando experiência prosissional e formação acadêmica, oferecemos serviços odontológicos personalizados para maior satisfação e bem estar de nossos pacientes, adequando autoestima, estética e saúde.

phone whatsapp

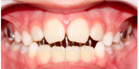
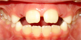
Mordida aberta

Ausência de contato entre os dentes

A mordida aberta é a ausência de contato entre os dentes de cima e de baixo mesmo com a boca fechada. Ela pode variar de casos mais simples ate casos mais complexos, envolvendo apenas a posição dos dentes ou a posição de dentes e ossos.

Quais são as causas da mordida aberta?

A mordida aberta pode ser provocada por hábitos de sucção como chupeta, mamadeira e dedo. Além desses fatores, a mordida aberta também pode ser provocada pela interposição lingual e respiração bucal.

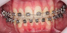
A remoção precoce da causa pode permitir que o desenvolvimento facial retorne ao normal e a mordida feche naturalmente. Porém, em alguns casos, faz-se necessária a intervenção precoce através da ortodontia interceptativa para evitar que o problema se agrave e o tratamento se torne mais complexo

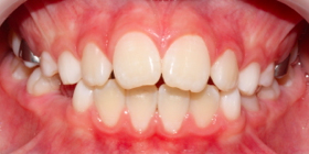
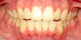
Mordida aberta em dentição permanente

Já em outros casos, quando o diagnóstico é feito na dentição permanente, a intervenção é realizada por meio da ortodontia corretiva.


Vogas Odontologia Especializada | Invisalign Doctor

Oferecemos serviços odontológicos personalizados para maior satisfação e bem estar de nossos pacientes, adequando autoestima, estética e saúde.

phone whatsapp