Ortodontia | Brasília

Clínica odontológica especializada no tratamento ortodôntico

Referência em planejamento e tratamento de casos de alta complexidade

Aliando experiência prosissional e formação acadêmica, oferecemos serviços odontológicos personalizados para maior satisfação e bem estar de nossos pacientes, adequando autoestima, estética e saúde.

phone whatsapp

Mordida cruzada

Problema de encaixe dos dentes superiores e inferiores

A mordida cruzada ocorre quando o encaixe dos dentes superiores e inferiores se dá de maneira errada e contrária. Nestes casos, os dentes de baixo ocluem pela frente dos dentes de cima.

A mordida cruzada pode ocorrer na parte anterior (mordida cruzada anterior) ou na parte posterior (mordida cruzada posterior). A mordida cruzada pode variar de casos mais simples até casos mais complexos, envolvedo apenas a posição dos dentes ou a posição de dentes e ossos.

Nos casos de mordida cruzada, a intervenção deve ser feita o mais precoce possível pois a tendência é que o problema se agrave com o crescimento, tornando o prognóstico de tratamento desfavorável

Mordida cruzada anterior

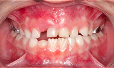
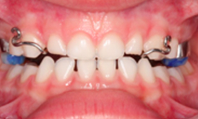
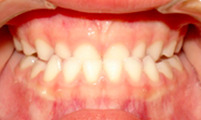
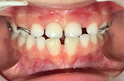
Caso 1

As imagens abaixo ilustram um caso de mordida cruzada anterior tratado com ortopedia facial. Observe que os incisivos superiores, que se encontravam inicialmente atrás dos incisivos inferiores, passou a ocluir corretamente.

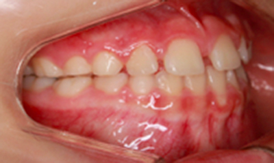
Caso 2

As imagens abaixo demonstram a projeção mandibular de uma paciente com mordida cruzada anterior com fotografias tiradas de perfil lateral. Observe que o tratamento ortodôntico precoce possibilitou a correção do perfil mandibular da paciente sem necessidade de procedimentos mais incisivos.

As imagens abaixo demonstram o mesmo caso de mordida cruzada anterior com fotografias intra orais laterais. Observe que os incisivos superiores, que se encontravam inicialmente atrás dos incisivos inferiores, passou a ocluir corretamente.

Mordida cruzada posterior

As mordidas cruzadas posteriores são alterações transversais dos arcos dentários e não se autocorrigem.

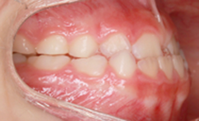
Caso 1

As imagens abaixo ilustram um caso de mordida cruzada posterior. Como se pode notar pelas imagens abaixo, a mordida cruzada posterior - quadrante direito do arco maxilar - foi corrigida com a ortodontia interceptativa.

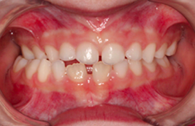
Caso 2

As imagens abaixo ilustram um caso de mordida cruzada posterior. Como se pode notar pelas imagens abaixo, a mordida cruzada posterior - quadrante direito do arco maxilar - foi corrigida com a ortodontia interceptativa.


Vogas Odontologia Especializada | Invisalign Doctor

Oferecemos serviços odontológicos personalizados para maior satisfação e bem estar de nossos pacientes, adequando autoestima, estética e saúde.

phone whatsapp