Ortodontia | Brasília

Clínica odontológica especializada no tratamento ortodôntico

Referência em planejamento e tratamento de casos de alta complexidade

Aliando experiência prosissional e formação acadêmica, oferecemos serviços odontológicos personalizados para maior satisfação e bem estar de nossos pacientes, adequando autoestima, estética e saúde.

phone whatsapp

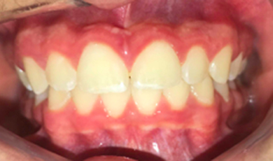
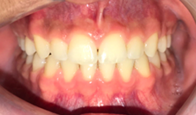
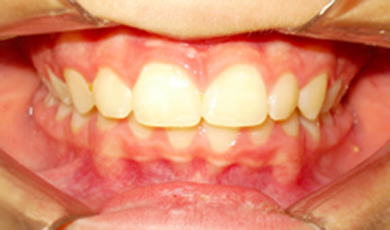
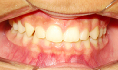
Sobremordida

Sobremordida é uma maloclusão que causa diversos prejuízos

A sobremordida ocorre quando os dentes superiores da frente escondem os dentes inferiores. É uma maloclusāo que acontece no sentido vertical e também pode ser chamada de mordida profunda.

Pode acontecer de maneira mais branda quando os dentes de cima recobrem mais de 1/3 dos dentes de baixo, até casos mais severos onde há o recobrimento total dos dente anteriores inferiores.

Este tipo de maloclusão pode causar alguns prejuízo como: estética do sorriso compremetida, desgates dentários e até feridas no céu da boca quando os dentes inferiores tocam o palato.

Caso 1

Caso 2


Vogas Odontologia Especializada | Invisalign Doctor

Oferecemos serviços odontológicos personalizados para maior satisfação e bem estar de nossos pacientes, adequando autoestima, estética e saúde.

phone whatsapp